エアフロークリーニングで着色汚れをスッキリ綺麗に✴︎
こんにちは!
大阪 京橋にある歯科医院 『大阪城デンタルクリニック』歯科衛生士の麻田です^_^
今回は従来のクリーニングでは取りきれなかったバイオフィルム(細菌の膜)や着色汚れまでやさしく除去できる、“エアフロークリーニング”についてご紹介いたします!
エアフローとは?
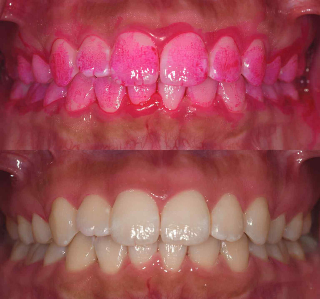
エアフローは、微細パウダー+高圧な水流+空気を歯に吹き付け、歯の表面や間の着色汚れや歯周病の原因となる細菌の塊を効率的に除去するジェットクリーニングシステムです。

◆ エアフローポイント
①着色・茶渋・タバコのヤニの除去
食べ物や飲み物、さらにはタバコなどの着色汚れも綺麗にできます。歯磨きで落とし切るのは難しいですが、エアフローを使えば短時間で綺麗に仕上げることも可能です。
②患者様の負担が少ない
従来のスケーリング(金属器具で歯石を削る)とは異なり、器具が歯に直接触れないので、歯や歯茎を傷つけにくく、痛みが少ないのが特徴です。不快感も大幅に軽減されます。
③インプラントやセラミックにもやさしい
チタンやジルコニアなどの補綴物にダメージを与えにくく、 インプラント治療後のメンテナンスにも最適です。

⚠️エアフローができない方
エアフローは以下の方は施術を行うことができません。ご了承ください。
・妊娠、授乳中の人
・放射線治療、化学療法を受けている最中の人
・抗生物質を使った薬物療法を受けて最中の人
・糖尿病、心内膜炎、免疫不全症を患っている方
・喘息などの呼吸器疾患を患っている人
・知覚過敏が強い方
・重度の歯周病の方
✴︎プレミアムケアとしての位置づけ
エアフローは、従来の定期検診や保険での歯石取りとは異なった自費診療のメンテナンスになります。
より快適で美しい仕上がりを求める方向けの“プレミアムメンテナンス”です。
特に、 インプラントやセラミックを長持ちさせたい方、着色をしっかり落としたい方 クリーニング後の“つるつる感”を保ちたい方 におすすめしています。 お口の状態に合わせ、通常のメンテナンスとは別枠でのご案内をさせていただいております。
詳しい流れやご予約についてはお気軽にお問い合わせください。
〜 定期的なエアフローメンテナンスで健康な歯をキープ 〜
エアフローは「痛みが少ない・短時間・効果的」なメンテナンス方法です。
定期的に受けることで、虫歯や歯周病の再発を防ぎ、 治療した歯やインプラントをより長持ちさせることができます。
今回ご紹介したエアフロークリーニングは サトウ歯科デンタルインプラントクリニック大阪および大阪城デンタルクリニックの両院でご案内しております。
ご興味がございましたらお気軽にスタッフにお声がけ下さい^_^