〜 補綴物とホワイトニングの関係性 〜
こんにちは!
大阪市放出の歯科医院『サトウ歯科デンタルインプラントクリニック大阪』歯科技工士、湯川です。
今回はセラミック補綴物とホワイトニングの関係性についてお話ししたいと思います。
日々診療をしていて、度々患者様からお話を伺うのが 、
「セラミック補綴物を入れる予定だが歯のホワイトニング治療もまだ続けたい…このまま続けてもいい?」
というご相談です。
結論からお話いたしますと、ホワイトニングを継続されたい場合は、一旦ホワイトニング治療を優先して頂くことを原則としております!

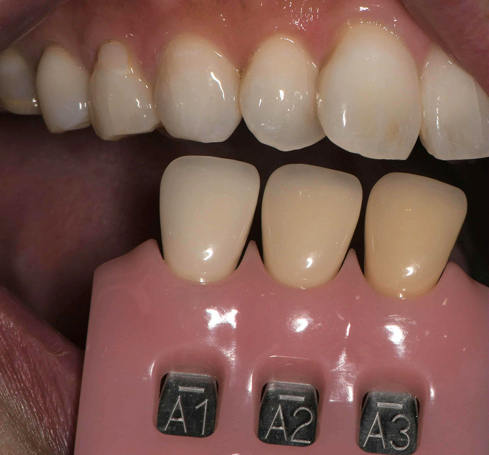
セラミック補綴物のガラスセラミックスジルコニアといった素材は歯のホワイトニング薬剤では色を変えることはできません。
歯のホワイトニングは主に神経がある天然歯を対象とした治療となっております。 ですのでご自身の理想の色に定着してからセラミック治療を行うという順番になります!

セラミック治療を行う際、歯科技工士が歯の色を撮影しにくる場面を見られたことがある方も多いのではないでしょうか?
技工士は治療に直接関わることはあまりないですが、歯の色や形のことについてのご相談はいつでも承っておりますので、お気軽にお声がけください^_^

当院ではホワイトニング、セラミック治療、コンサルにも大変力を入れております。
治療中であっても少しでも疑問やご希望がございましたら、その都度ご相談頂き理想に近づけるように努力して参ります!