【当院のインプラント治療】専門医による安心・無痛治療
こんにちは。
当院のインプラント治療の特徴をご案内いたします。
サトウ歯科デンタルインプラントクリニック大阪では、日本口腔インプラント学会の専門医による、安全性の高いインプラント治療を行っています。
「インプラントは痛いのでは?」 「手術が不安」
という方にも安心していただけるよう、無痛治療を取り入れ、リラックスした状態で手術を受けていただけます。
専門医によるインプラント手術

高度な技術が求められるインプラント治療は、経験豊富な専門医が担当します。繊細な技術と的確な判断が必要とされるからこそ、実績と知識を兼ね備えた歯科医師による治療が重要です。
理事長・佐藤琢也は、学会での受賞歴や講演実績も豊富に持ち、これまで多くの症例に携わってきました。
その確かな経験と技術に基づき、患者さま一人ひとりに最適なインプラント治療をご提供しています。
また、国内外で歯科医師を指導する立場としても活動しており、高度な技術と知識の普及にも力を注いでいます。本院に併設された研修センターには、全国から多くの歯科医師が訪れ、最先端の治療技術を学んでいます。
安心して治療を受けていただける体制を整え、常に質の高い医療の提供に努めています。
痛みを抑えた無痛インプラント治療

インプラント手術に対する「痛み」や「怖さ」といった不安をできる限り軽減できるよう、リラックスして受けていただける環境を整えています。
当院では、笑気麻酔によってふんわりとリラックスした状態で治療を受けていただけるほか、ご希望に応じて静脈鎮静法にも対応しています。静脈鎮静法では、まるで眠っているような感覚の中で手術が進むため、治療中の緊張や不安を大きく和らげることが可能です。
患者さまのご希望や体調に合わせて最適な方法をご提案し、手術中の痛みやご不安を最小限に抑えたインプラント治療を提供しています。
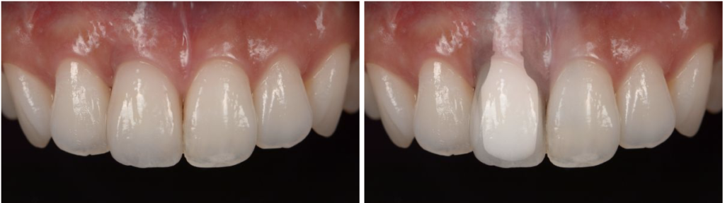
前歯の審美インプラントにも強み

前歯はお顔の印象を大きく左右する大切な部分だからこそ、色味や形、歯ぐきとのバランスまで細部にこだわり、まるで天然歯のような仕上がりを目指します。
当院では、見た目の美しさだけでなく、しっかり噛める機能性との両立も重視しています。長く快適にお使いいただけるよう、精密な診断と丁寧な施術を行っています。
また、当院の審美インプラントは、学会においても高い評価を受けており、技術力と実績の両面で安心して治療をお任せいただけます。前歯の見た目でお悩みの方は、ぜひ一度ご相談ください。
難症例にも対応
「他院で断られた」「骨が少ない」といったケースにも対応可能です。
インプラント治療は顎の骨の状態が重要となりますが、骨造成などの技術を組み合わせることで、難症例とされるケースにも治療の選択肢が広がります。
症例掲載ページ
〜 まずはお気軽にご相談ください 〜
インプラント治療は、事前の診断と計画がとても重要です。
当院では丁寧なカウンセリングを行い、患者さま一人ひとりに最適な治療をご提案します。
インプラント治療をご検討の方は、ぜひ一度ご相談ください。