医療法人 俊慈会
MENU
CLOSE
ホーム
当院について
サトウ歯科
デンタルインプラントクリニック大阪
大阪城デンタルクリニック
診療科目
インプラント治療
一般治療(虫歯・歯周病)
審美歯科
矯正
予防歯科
ホワイトニング
スタッフ紹介
診療実績
料金
歯科関係の方へ
採用情報
当院の社会貢献
スタッフブログ
個人情報の取り扱いについて
ご予約・お問い合わせ
TREATMENTS
インプラント治療
VIEW MORE
一般治療
(虫歯・歯周病)
VIEW MORE
審美歯科
VIEW MORE
矯正
VIEW MORE
予防歯科
VIEW MORE
ホワイトニング
VIEW MORE
歯科関係の方へ
採用情報
当院の社会貢献
スタッフブログ
ホーム
当院について
サトウ歯科
大阪城デンタルクリニック
診療科目
インプラント治療
一般治療(虫歯・歯周病)
審美歯科
矯正
予防歯科
ホワイトニング
スタッフ紹介
診療実績
料金
ご予約
お問い合わせ
STAFF BLOG
スタッフブログ
ホーム
スタッフブログ
2025年10月30日
2025年10月30日
サトウ歯科
大阪城デンタルクリニック
治療内容
2025.10.30
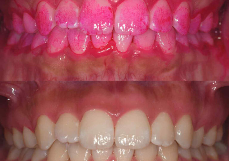
エアフロークリーニングで着色汚れをスッキリ綺麗に✴︎
こんにちは! 大阪 京橋にある歯科医院 『大阪城デンタルクリニック』歯科衛生士の […]
VIEW MORE
カテゴリー
ClubGP
(48)
インフォメーション
(18)
インプラント
(8)
サトウ歯科
(162)
スタッフの日常
(42)
デンタルケア商品
(21)
ホワイトニング
(8)
勉強会
(43)
大阪城デンタルクリニック
(130)
採用情報
(9)
未分類
(10)
治療内容
(42)
講演レポート
(13)
院内紹介
(54)
アーカイブ
月を選択
2026年5月 (3)
2026年4月 (5)
2026年3月 (5)
2026年2月 (5)
2026年1月 (3)
2025年12月 (4)
2025年11月 (5)
2025年10月 (5)
2025年9月 (5)
2025年8月 (4)
2025年7月 (2)
2025年6月 (5)
2025年5月 (5)
2025年4月 (5)
2025年3月 (4)
2025年2月 (4)
2025年1月 (4)
2024年12月 (6)
2024年11月 (5)
2024年10月 (5)
2024年9月 (5)
2024年8月 (4)
2024年7月 (4)
2024年6月 (4)
2024年5月 (4)
2024年4月 (5)
2024年3月 (5)
2024年2月 (4)
2024年1月 (5)
2023年12月 (3)
2023年11月 (4)
2023年10月 (7)
2023年9月 (6)
2023年8月 (5)
2023年7月 (8)
2023年6月 (5)
2023年5月 (4)
2023年4月 (8)
2023年3月 (4)
2023年2月 (6)
2023年1月 (6)
2022年12月 (6)
2022年11月 (5)
2022年10月 (6)
2022年9月 (6)
2022年8月 (4)
2022年7月 (2)
2022年6月 (3)
2022年5月 (2)
2022年2月 (1)
2022年1月 (1)
2021年12月 (2)
2021年9月 (2)
2021年8月 (1)
2021年7月 (2)
2021年5月 (1)
2021年4月 (2)
2021年2月 (2)
2020年12月 (1)
2020年9月 (1)
2020年8月 (1)
2020年4月 (2)
2020年3月 (2)
2020年2月 (1)
2020年1月 (1)
2019年12月 (1)
2019年11月 (1)
2019年10月 (1)
2019年9月 (1)
2019年8月 (1)
2019年7月 (2)
2019年6月 (3)
2019年5月 (2)
2019年3月 (1)
2018年12月 (2)
2018年8月 (2)
2018年7月 (2)
2018年6月 (2)
2018年5月 (2)
2018年3月 (3)
2017年9月 (1)
2017年3月 (2)
2017年1月 (1)
カレンダー
2025年10月
月
火
水
木
金
土
日
1
2
3
4
5
6
7
8
9
10
11
12
13
14
15
16
17
18
19
20
21
22
23
24
25
26
27
28
29
30
31
« 9月
11月 »
TREATMENTS
インプラント治療
VIEW MORE
一般治療
(虫歯・歯周病)
VIEW MORE
審美歯科
VIEW MORE
矯正
VIEW MORE
予防歯科
VIEW MORE
ホワイトニング
VIEW MORE
サトウ歯科
デンタルインプラントクリニック大阪
大阪城デンタルクリニック
ご予約・お問い合わせ
サトウ歯科
「放出」駅徒歩2分
大阪城
デンタルクリニック
「大阪ビジネスパーク」駅直結
ご予約
お問い合わせ